ポリアミドユーティリティフック MusashiPolyamide Utility Hook Musashi
汎用性の高いユーティリティフック
エラスティック、F.M.リングレットを同時に引っ掛けることができる「二刀流」の形状に設計しました。
アライナー・リンガル・ラビアルを問わず、幅広い症例に適用できます。また、従来の審美アタッチメントでは掛けづらかった太めのエラスティックも余裕をもってご使用いただくことが可能です。
材質は透明度の高いポリアミド樹脂を採用し、審美的なユーティリティフックを目指しました。
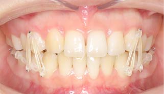
エラスティック(4oz 1/4)使用
提供:GOSI矯正歯科様
F.M.リングレット(LXiIV)使用
提供:GOSI矯正歯科様
引っ掛けやすい形状を追求
ベース面とフックの間に十分な空間を確保し、患者さんがエラスティックゴムを簡単に引っ掛けられるよう設計しました。さらに、頬粘膜への負担を軽減するため、フックには丸みを持たせ、長さや形状、角度にもこだわり、使いやすさを追求しました。
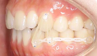
アライナーとの併用例
提供:GOSI矯正歯科様
クリスタブレース3と同様のスタッドベースを採用
ベースの潰し加工によりアンダーカットを作り、脱離しにくい形状を目指しました。また、歯面のカーブに沿うように内側のスタッドベースをゆるやかに湾曲させています。

マーキングの付与
透明度が高いため、フックの向きが分かりやすいよう先端にマーキングを付与しました。これにより、エラスティックを掛ける方向に合わせたボンディングが可能になり、患者さんがエラスティックを掛けやすい仕様となっています。
商品情報
■商品名:ポリアミドユーティリティフック Musashi
■商品番号:PUM
■高さ:2.38mm
■包装:10個入
■発売日:2025年12月23日
薬事情報
| 販売名 | クリスタブレース |
|---|---|
| 一般的名称 | 歯列矯正用アタッチメント |
| 医療機器承認/認証/届出番号 | 222AGBZX00149000 |
| 医療機器分類 | 管理医療機器 |
| 製造販売業者 | 株式会社モリタデンタルプロダクツ |
◇添付文書は医薬品医療機器総合機構(PMDA)のホームページからご覧ください